Assessing And Managing Non-Carious Class V Dental Lesions

Assessing And Managing Non-Carious Class V Dental Lesions

Neev Wellbeing - Class v lesions / Cervical lesions

Of the 300 employees participating in the study, those who experienced high levels of telepressure were more likely to agree with statements assessing burnout, like I've no energy for going to work in the. This time around, Twenge and her team make a point of saying that they are not trying to establish causes as such, but that they are assessing the of potential causes.

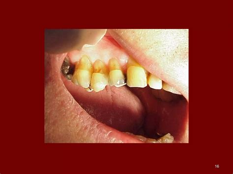
07.non carious lesions | PPT

07.non carious lesions | PPT

SOLUTION: Non carious lesions assignment - Studypool

SOLUTION: Non carious lesions assignment - Studypool

Read also: Managers Are Reacting To New Practice Management Courses Dental Trends

close