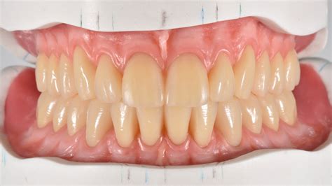
Digital Dentures: Options, Workflows And Esthetic Outcomes
Digital transformation is a business strategy initiative that incorporates digital technology across all areas of an organization. It evaluates and modernizes an organization’s processes, products, operations. Transformação digital é uma iniciativa estratégica de negócios que incorpora tecnologias digitais em todas as áreas de uma organização. Hey there! Welcome to the Digital Spy forums. If you’d like to join in, please sign in or register. Digital Spy Forum and Community, a place to discuss the latest TV, Movie and entertainment news and trends.
Digital Dentures
