Fabricating An Implant-Supported Provisional Prosthesis

Fabricating An Implant-Supported Provisional Prosthesis

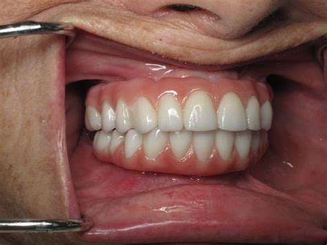
Implant Supported Fixed Hybrid Prosthesis – Durable Dental Laboratory

FABRICATING meaning: 1. present participle of fabricate 2. to invent or produce something false in order to deceive.. Learn more. Their plan is to fabricate the house out of synthetic materials. She was accused of fabricating data. The story was a total/complete fabrication. Researchers have demonstrated a new process for rapidly fabricating complex three-dimensional nanostructures from a variety of materials, including metals. Synonyms for FABRICATING: producing, making, manufacturing, creating, constructing, assembling, forming, fashioning; Antonyms of FABRICATING: dismantling, destroying, disassembling, abolishing,.

Dental implant-supported transitional prostheses - ITI Blog

Dental implant-supported transitional prostheses - ITI Blog

Dental implant-supported transitional prostheses - ITI Blog

Dental implant-supported transitional prostheses - ITI Blog

Read also: Doctors Are Divided Over Which Bisphosphonates Names Carry More Risk

close