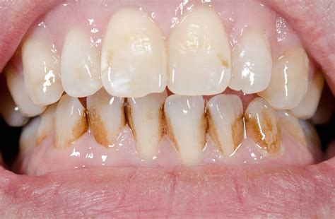
How Spit Tobacco Effects Are Surprisingly Worse Than Smoking For Gums
Spécialiste français de solutions de fixation pour le bâtiment, SPIT PASLODE conçoit, produit et commercialise une offre globale de systèmes de clouage et d'agrafage, de chevilles chimiques,. © PASLODE SPIT 2026 Legal mentions Delete your personal data Site map http://www.itw.com/ Anti human trafficking disclosure The PASLODE brand joined the SPIT company in France in 2002, and is marketed by the same sales network, offering high-quality nailers and staplers for the wood industry, carpenters, and roofers. Safety Datasheet - ACCESSORY IMPULSE-PULSA OIL PASLODE SPIT_TEC_SDS_EN.pdf Safety Datasheet - FUEL CELL_P40-800-IF-ST400_P700_SERIES-I_IM350_IM90i_TEC_SDS_EN.pdf With an integrated library of SPIT anchors, this software is the fastest and easiest to help you choose the right fastener for your project and get a design solution.
Buy PULSA 40P+ | Drywall Tools | Spit UK - Premium cordless nailer for drywall applications Whether you are a draftsman, an industrialist or a design office, you can benefit from free software, applications, 2D/3D libraries and SPIT PASLODE plugins: SPIT i-EXPERT software to produce. Créée en 1951 à Valence dans le Sud-Est de la France, SPIT s’est forgée au cours de 70 ans d’histoire sur les chantiers européens, une expertise reconnue dans les métiers de la fixation et de la.
Tobacco chewing and smoking affect the teeth, gums... | SmileScape ...
