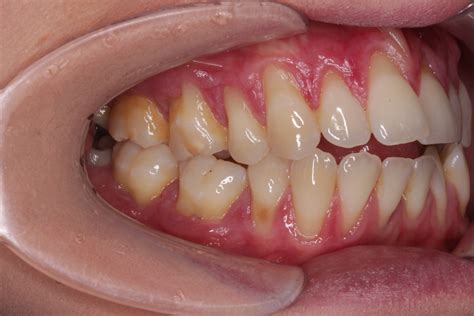
How To Locate And Adjust The Gingival Zenith For Patients
With network everywhere: Locate your offline devices with their stored and encrypted recent locations. If you have a PIN, pattern, or password set on your Android device, the network will help you locate. From the listed devices, select the device you want to locate. The lost device gets a notification. When you manage a Google Account with Family Link, your child’s supervised devices automatically. How Find Hub protects your data Find Hub allows you to locate, secure, and erase your lost Android device. When your device is online, Find Hub can help you find your device and it can also find your. There are different reasons why an email may be missing from Gmail. For example, an email goes to spam instead of your inbox. In this article, learn how to locate your missing emails. Check these t See the article Here If your phone meets all of these requirements, you will be able to use the Find My Device website to locate your phone on a map, play a sound on your phone, lock your phone, or.
Zenith - From Imagination to Hardware
