Impact Of Emerging Technologies On Dental Hygiene Practice

Impact Of Emerging Technologies On Dental Hygiene Practice

Common Dental Problems and Treatments | Emergency Dentist

Dental Hygiene practice - Klaipėdos valstybinė kolegija

Dental Hygiene practice - Klaipėdos valstybinė kolegija

Smile of Hope... - Smile of Hope Dental Hygiene Practice

Smile of Hope... - Smile of Hope Dental Hygiene Practice

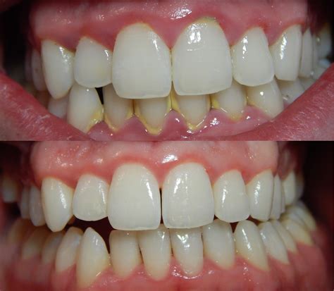
Read also: Periodontal Breakdown: Understanding The Process And Implementing Effective Chemotherapeutics

close