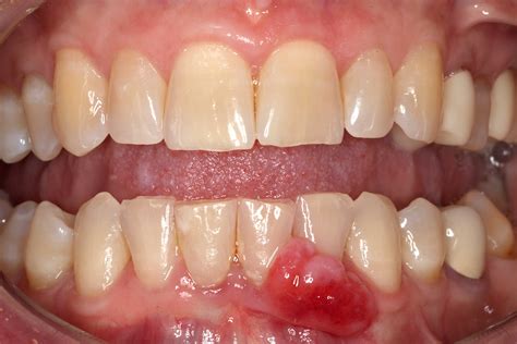
Laser-Assisted Removal Of Irritation Fibroma

Laser-Assisted Removal Of Irritation Fibroma

Oral Fibroma Removal: What You Should Know

2 days ago · LASERS administers 24 retirement plans covering over 150,000 members and their families. Set Your Communication Preferences You can receive notifications from LASERS straight to your email or phone. Watch the tutorial to learn how to quickly view and/or adjust your notifications settings. Thank you for your service to the state of Louisiana! It’s important to remember that retirement is not an overnight process and involves teamwork – you, your agency, LASERS, and ample planning time.. LASERS representatives are available to assist you Monday – Friday, 7:30 a.m. – 4:00 p.m. This may be your most important LASERS resource. This guide contains detailed information about LASERS membership, the Initial Benefit Option (IBO) and Deferred Retirement Option Plan (DROP),.

LASERS administers 24 retirement plans covering over 150,000 members and their families, on behalf of 353 Louisiana employers statewide. Our collaborative approach relies on agency liaisons to.

Fibroma

Fibroma

Fibroma

Fibroma

Read also: Laser For Dental Hygiene Use Is Reducing The Need For Gum Surgery

close