Many Students Wonder Which Statement Is Incorrect Concerning The Maintenance Of Dental Implants
The meaning of MANY is consisting of or amounting to a large but indefinite number. How to use many in a sentence. We use many to refer to a large number of something countable. We most commonly use it in questions and in negative sentences:. You use many to indicate that you are talking about a large number of people or things. I don't think many people would argue with that. Not many films are made in Finland. Do you keep many books. A large number of persons or things: "For many are called, but few are chosen" (Matthew 22:14). Jan 20, 2026 · Many is used only with the plural of countable nouns (except in the combination many a). Its counterpart used with uncountable nouns is much. Many and much merge in the comparative and.
Many, innumerable, manifold, numerous imply the presence or succession of a large number of units. Many is a popular and common word for this idea: many times. Many definition: Amounting to or consisting of a large indefinite number. Many, as a general term, refers to a large number, quantity, or amount. It indicates a plural or multiple existence of something, suggesting that there is a significant or considerable quantity of that. many or much? Many is used with words for things that we can count. Much is used with words for things that we cannot count. Compare: Do you have many things to do today? Do you have much.
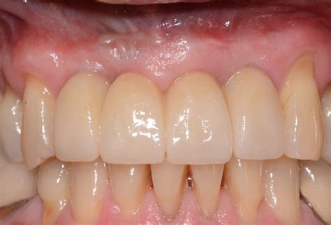
What You Need to Know About Dental Implants: Cleaning and Maintenance ...
