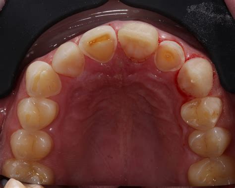
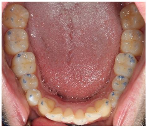
Restoring Function Means Fixing The Occlusal Surface Of A Tooth
If we are restoring for future generations, then our actions today are being determined by non-existent people of unknown requirements. Find 128 different ways to say RESTORING, along with antonyms, related words, and example sentences at Thesaurus.com. restoring - WordReference English dictionary, questions, discussion and forums. All Free. To restore a situation or practice means to cause it to exist again. The army has recently been brought in to restore order. [VERB noun] As they smiled at each other, harmony was restored again. [VERB. Restoring one revives the other -- and he saw signs of hope everywhere on his swim.
Occlusal Surface Definition at David Oldham blog
