Specialists Explain Anterior Dental Care

Specialists Explain Anterior Dental Care

Dental Specialists of Voorhees

Aug 22, 2023 · There are many types of medical specialists and subspecialists, and it can be difficult to know which type of doctor you may need to see. Internists, family medicine physicians, and. Learn about specialists by reviewing the definition in the HealthCare.gov Glossary. Jun 26, 2025 · There are many types of medical doctors, each specializing in specific areas of health and medicine. The medical field includes many types of doctors, from primary care physicians.

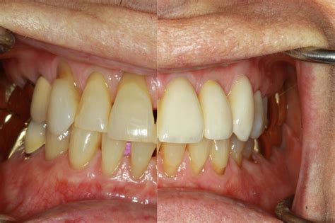
Upper Anterior Rebuild - Barkley Blvd Dental Care

Upper Anterior Rebuild - Barkley Blvd Dental Care

Anterior Crowns - Chestnut Ridge Dental

Anterior Crowns - Chestnut Ridge Dental

Read also: Postoperative Pain Management In Dentistry

close