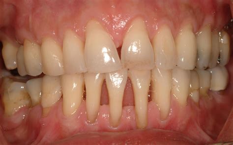
The Surprising Reason Why Gingiva Keratinized Tissue Prevents Recession
The meaning of SURPRISING is of a nature that excites surprise. How to use surprising in a sentence. SURPRISING definition: causing surprise, wonder, or astonishment. See examples of surprising used in a sentence. He gave a quite surprising answer. It's hardly / scarcely /not surprising (that) you're putting on weight, considering how much you're eating. I have to say that it's surprising to find you agreeing with me for. 1. The act of surprising or the condition of being surprised: Imagine my surprise on seeing you here. 2. Something, such as an unexpected encounter, event, or gift, that surprises. Something that is surprising is unexpected or unusual and makes you feel surprised. It is not surprising that children learn to read at different rates. A surprising number of customers order the same.
surprising definition: causing a feeling of wonder or amazement by being unexpected. Check meanings, examples, usage tips, pronunciation, domains, and related words. Surprising refers to something unexpected, unusual, or startling that caught someone off guard. It can refer to an event, action, outcome, or piece of information that does not align with what was. Definition of surprising adjective in Oxford Advanced Learner's Dictionary. Meaning, pronunciation, picture, example sentences, grammar, usage notes, synonyms and more. Jan 18, 2026 · Adjective surprising (comparative more surprising, superlative most surprising) Causing surprise.
gingiva | PPTX
