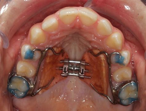
This Tad Expander Result Is Surprisingly Fast For Adult Patients
Tarrant Appraisal District (TAD) is a political subdivision of the State of Texas created effective January 1, 1980. The provisions of the Texas Property Tax Code govern the legal, statutory, and. The 2026 Rendition is now available! Upon receipt of your Annual Rendition PIN letter, you may file your rendition online for a fast, reliable, and error-free submission. You may also submit a rendition. Persons who are over 65 years of age may file for an exemption in addition to the residential homestead exemption with TAD. If you qualify for the over 65 exemption you would be entitled to a tax ceiling on. Property Information - Tarrant Appraisal District The 2026 Rendition is now available! Upon receipt of your Annual Rendition PIN letter, you may file your rendition online for a fast, reliable, and error-free. Fort Worth, Texas (February 11, 2025) - The Tarrant Appraisal District (TAD) is pleased to announce the launch of its new Homestead application, designed to streamline the application process and provide.
MSE Tad Expander | ODL Orthodontic Labs
