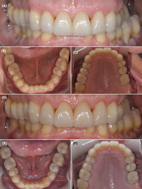
Three-Dimensional Assessment Of Dental Occlusion (Occlusal Fencing): A Clinical Technique

Three-Dimensional Assessment Of Dental Occlusion (Occlusal Fencing): A Clinical Technique

Dental Update - Occlusal matrix technique

Oct 3, 2024 · Why do we have both the word "three" and the numeral "3" in this sentence? The number 345 has three digits, where the first digit is a 3. Nov 19, 2020 · In the sentence, "We three will go to the Express mall. You can find we/us three there, having a good time." I'm unsure whether to use we/us for the second reference. I have. Jun 3, 2025 · So here’s three things that you might have missed — some you probably know already, and others that you might not be aware of if you haven’t been tracking Scattered Spider beyond the. Feb 6, 2013 · To express a fraction of 3 out of 4, how and when would you use three quarters, and when would you use three fourths? To me, three quarters is what I would have used all the time — but I'm. Jun 2, 2025 · Qualcomm has released security patches for three zero-day vulnerabilities in the Adreno Graphics Processing Unit (GPU) driver that impact dozens of chipsets and are actively exploited in.

Taking an Occlusal Photo - Lee Ann Brady, DMD's Dental Blog

Taking an Occlusal Photo - Lee Ann Brady, DMD's Dental Blog

Vertical Fencing Technique: Case No. 1383 Albany Cosmetic and Laser

Vertical Fencing Technique: Case No. 1383 Albany Cosmetic and Laser ...

Read also: Laser Disinfection Will Soon Revolutionize Treatment Of Peri Implantitis

close