Understanding The Etiology And Functional Considerations Of The Worn Dentition

Understanding The Etiology And Functional Considerations Of The Worn Dentition

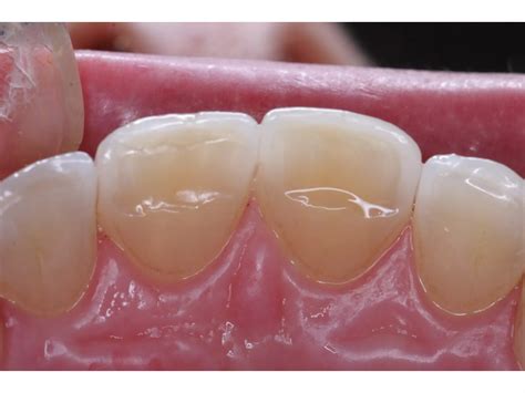
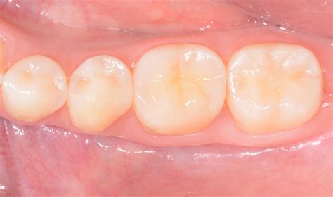
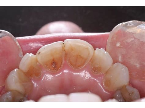
Worn Dentition Gallery — Texas Dental Solutions

The meaning of UNDERSTANDING is a mental grasp : comprehension —usually used with of. How to use understanding in a sentence. Understanding is a cognitive process related to an abstract or physical object, such as a person, situation, or message whereby one is able to use concepts to model that object. UNDERSTANDING definition: 1. knowledge about a subject, situation, etc. or about how something works: 2. a particular way in.. Learn more. Understanding a concept means you get it. Your understanding might be that your mother will always drive you to school if you miss the bus. The sum of your knowledge of a certain topic, is your. Both comprehension and understanding can be used to talk about someone's ability to understand something. He noted Bond's apparent lack of comprehension. The problems of solar navigation.

UNDERSTANDING definition: mental process of a person who comprehends; comprehension; personal interpretation. See examples of understanding used in a sentence. If you have an understanding of something, you know how it works or know what it means. Understanding definition: Individual or specified judgment or outlook; opinion. Definition of understanding noun from the Oxford Advanced Learner's Dictionary. [uncountable, singular] understanding (of something) the knowledge that somebody has about a particular subject or.

Functional and Esthetic Restoration of the Worn Dentition | PPT

Functional and Esthetic Restoration of the Worn Dentition | PPT

Prosthodontic Considerations for the "Terminal Dentition" Patient

Prosthodontic Considerations for the "Terminal Dentition" Patient ...

Read also: This Tobacco 101 Session Covers All The Health Risks

close