Why Dentists Are Concerned About Teeth Mesial Alignment Today

Why Dentists Are Concerned About Teeth Mesial Alignment Today

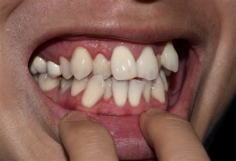
Teeth Straightening / Alignment | AECS DENTAL

Mar 18, 2011 · "why" can be compared to an old Latin form qui, an ablative form, meaning how. Today "why" is used as a question word to ask the reason or purpose of something. This use might be.

Premium AI Image | Mesial Impaction of Wisdom Teeth to the Second A

Premium AI Image | Mesial Impaction of Wisdom Teeth to the Second A ...

[Solved] . Mesial- Red PERMANANT TEETH Distal- Blue Lingual- Green

[Solved] . Mesial- Red PERMANANT TEETH Distal- Blue Lingual- Green ...

Read also: Efficacy Of The Knotted Floss Technique For Type 1 Embrasures

close