Why Errors In Bonding Often Cause A Surprising Loss Of Durability

Why Errors In Bonding Often Cause A Surprising Loss Of Durability

Dermatologist Shares a Surprising Factor That Could Cause 'Permanent

Mar 22, 2023 · The questions How? and Why? only have similar answers where the reason for something is the cause. This is the case for a question like "Why is the boy so big?" — he has eaten. The grass is wet because it rained last night. This seems the simplest and most elegant expression of the meaning. I am always suspicious of "reason (s)" and "why" being next to each other. There can. Aug 22, 2025 · The history told me nothing why an involuntary, extremely painful spasm, is named after a horse called Charley. Charley in the UK is often spelled Charlie, a diminutive of Charles, and it's.

Trauma Bonding | How to Break Free | RTT® Blog

Trauma Bonding | How to Break Free | RTT® Blog

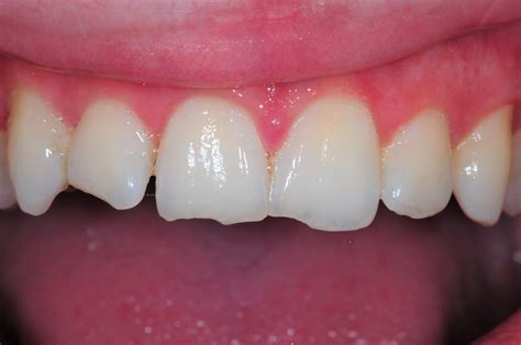
Dental Bonding - Metzger Dentistry

Dental Bonding - Metzger Dentistry

Read also: Improving Overall Health Through Oral Health: Why, When, And How

close